深圳先进院基于深度学习的CT投影数据重建获重要进展
近日,中国科学院深圳先进技术研究院微创中心谢耀钦研究员及其团队在基于深度学习的稀疏CT投影数据重建方面取得重要进展,相关成果A Sparse-View CT Reconstruction Method Based on Combination of DenseNet and Deconvolution被国际医学影像顶级期刊IEEE Transaction On Medical Imaging(IF=3.94)接收(DIO:10.1109/TMI.2018.2823338)。该论文提出了一种基于深度学习的新型的稀疏CT重建模型DD-Net,对于快速低剂量CT成像的应用研究具有重要意义。论文的第一作者是博士研究生张志诚,通信作者是谢耀钦研究员。
通常,在某一先验假设的前提下,研究者利用优化理论,通过不停地迭代来获得理想的图像质量。本研究充分利用DenseNet的稠密链接和特征复用的特点,结合反卷积网络,成功设计出一种新型端对端的网络模型DD-Net,该模型能够使网络参数量降低到同等宽度和深度的网络的1/3,大大地提高了网络的表达能力。
谢耀钦团队致力于人工智能在医学影像引导,尤其是放射治疗中的应用研究。目前已经将深度学习中的DD-Net、卷积神经网络等应用于医学影像的重建、分割、配准和质量评估等方面,并与美国弗吉尼亚理工、斯坦福大学、加州大学圣地亚哥分校、韦恩州立大学等开展合作。
该项研究获得国家重点研发计划数字诊疗专项的资助。

图1:DD-Net网络架构

图2:重建结果. (A) 参考图像, (B) FBP重建结果, (C) PWLS-TGV重建结果, (D) R-NLTV重建结果, (E) DD-Net重建结果

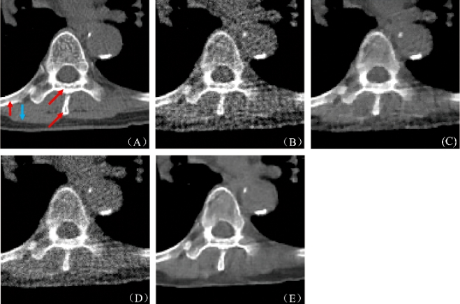
图3:图2(A)中红色标记局部区域的放大图(A) 参考图像, (B) FBP重建结果, (C) PWLS-TGV重建结果, (D) R-NLTV重建结果, (E) DD-Net重建结果