深圳先进院磁共振脂肪测温和胎儿成像研究获进展
近日,中国科学院深圳先进技术研究院影像中心郑海荣团队在磁共振脂肪测温和胎儿成像方面取得重要进展,共有两篇论文分别发表在Magnetic Resonance in Medicine和IEEE Transactions on Medical Imaging两份领域内权威期刊。
棕色脂肪精确定量与活性评估在人体代谢研究和减脂新药开发中有重要意义,温度变化是棕色脂肪活性评估的关键指标,但棕色脂肪测温具有极大的挑战。团队采用双步迭代温度估计新型算法,提高了基于脂肪温度成像结果的准确度和精确度,成功实现了离体棕色脂肪组织的温度成像,为下一步研究在体棕色脂肪活性以及脂肪代谢调控手段提供重要基础。相关成果发表在Magnetic Resonance in Medicine,第一作者为程传力、邹超,通讯作者为郑海荣。
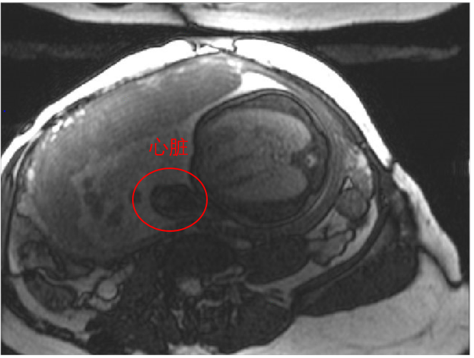
磁共振胎儿成像可发现复杂先天性疾病,尤其对神经发育异常和心血管疾病诊断有不可替代的价值。现有磁共振技术在成像速度和图像信噪比方面对于胎儿成像有较大的局限性。团队基于高灵敏电子设计了大范围、高密度多通道新型表面柔性线圈,与商用的线圈对比,设计的线圈的图像信噪比提高可达40%左右,更多的线圈单元可以显著提高成像速度,成功实现了清晰的胎儿大脑(2倍加速)和心脏电影(4倍加速)成像。相关成果发表在IEEE Transactions on Medical Imaging,第一作者为陈巧燕,通讯作者为郑海荣、李烨。
以上两项国际先进技术目前正在联影3T磁共振设备上进行转化,预期年底实现临床应用。

图1 离体棕色脂肪组织升温实验。a原始幅值图像;b局部放大图,红色五角星代表荧光光纤温度计插入位置;c脂肪含量分布图;d和e:第10次和最后一次测量点相对温度分布图;f:DITE算法的测温曲线,与荧光光纤温度计读数一致,平均误差、标准差和均方差误差分别是:-0.08℃、0.46℃和0.56℃。

图2 设计的36通道线圈(结合12通道脊椎线圈)与商用的18通道线圈(结合12通道脊椎线圈)的胎儿大脑(2倍加速)成像结果对比,36通道线圈可以明显提高图像信噪比,高达40%左右。

图3 设计的36通道线圈(结合12通道脊椎线圈)采集的胎儿心脏成像(4倍加速)结果。